Fax: +49 (0) 761 892535
O. Kindler Logo

Staining Reagents

Dyes & dye solutions ORSAtec for scientific and clinical applications

Staining Reagents

Dyes & dye solutions of ORSAtec for scientific and clinical applications in research and routine. The solutions are developed, tested and optimized by ORSAtec. For the most common ways we offer ready to use solutions.


Overview staining for cytological preparations

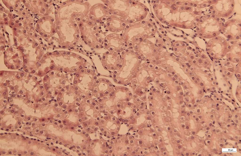
Rattus norvegicus (Brown rat), kidney cross, HE staining
Rattus norvegicus (Brown rat), kidney cross, HE staining

May-Gruenwald Solution

Eosin-methylene blue solution according to May-Gruenwald

May-Gruenwald solution is an ethanol eosin methylene blue solution. Due to the high methanol content it occur a simultaneously fixation of the specimen (recommended exposure time: 3 minutes). The May-Gruenwald solution is used for differential staining of blood smear and cytological specimens.

Color Solution Set Package size
May-Gruenwald solution Eosin-methylene blue 100 ml
May-Gruenwald solution Eosin-methylene blue 250 ml
May-Gruenwald solution Eosin-methylene blue 500 ml
May-Gruenwald solution Eosin-methylene blue 1 l
May-Gruenwald solution Eosin-methylene blue 2.5 l
May-Gruenwald solution Eosin-methylene blue 10 l
Felis silvestris catu. (Domestic Cat), Cortex along, Masson-Goldner staining
Felis silvestris catu. (Domestic Cat), Cortex along, Masson-Goldner staining

Overview staining for tissue sections (H & E)

Mayer's Hematoxylin and Eosin (HE) Staining

Mayer's Hematoxylin and Eosin (HE) Staining showing Nuclei blue and Cytoplasm pink to red

Color Solution Set Package size
Mayer's Hematoxylin and Eosin (sour) 250 ml
Mayer's Hematoxylin and Eosin (sour) 1 L
Mayer's Hematoxylin and Eosin (sour) 5 l
Mayer's Hematoxylin and Eosin (sour) 10 l

Eosin Y-solution

Color Solution Set Package size
Eosin, yellowish Solution 2% in water 10 ml
Eosin, yellowish Solution 2% in water 25 ml
Eosin, yellowish Solution 2% in water 100 ml
Eosin, yellowish Solution 2% in water 500 ml
Eosin, yellowish Solution 2% in water 1 l
Eosin, yellowish Solution 2% in water 5 l
Eosin, yellowish Solution 2% in water 10 l
Erinaceus europ. (Hedgehog), tongue, phase contrast
Erinaceus europ. (Hedgehog), tongue, phase contrast

Weigert's iron hematoxylin solution Set

For acid-resistant staining of nuclei.

Color Solution Set Package size
Weigert’s iron hematoxylin solution A 250 ml
Weigert’s iron hematoxylin solution A 500 ml
Weigert’s iron hematoxylin solution A 1 l
Weigert’s iron hematoxylin solution A 5 l
Weigert’s iron hematoxylin solution A 10 l
Color Solution Set Package size
Weigert’s iron hematoxylin solution B 250 ml
Weigert’s iron hematoxylin solution B 500 ml
Weigert’s iron hematoxylin solution B 1 l
Weigert’s iron hematoxylin solution B 5 l
Weigert’s iron hematoxylin solution B 10 l

Resorcinol Fuchsine Solution according to Weigert

Color Solution Set Package size
Elastica Staining according to Weigert 25 ml
Elastica Staining according to Weigert 100 ml
Elastica Staining according to Weigert 250 ml
Elastica Staining according to Weigert 1 l
Elastica Staining according to Weigert 5 l
Elastica Staining according to Weigert 10 l
Turbellaria cross-section
Turbellaria cross-section

Nuclear fast red-aluminum sulfate

for microscopy showing the cell nuclei.

Color Solution Set Package size
Nuclear fast red-aluminum sulfate solution 100 ml
Nuclear fast red-aluminum sulfate solution 250 ml
Nuclear fast red-aluminum sulfate solution 500 ml
Nuclear fast red-aluminum sulfate solution 1 l
Nuclear fast red-aluminum sulfate solution 5 l
Nuclear fast red-aluminum sulfate solution 10 l

Van Gieson-Solution

for microscopy showing the connective tissue in the van Gieson trichrome and Elastica Van Gieson's stain (picrofuchsin).

Color Solution Set Package size
Van Gieson staining solution (picrofuchsin) 100 ml
Van Gieson staining solution (picrofuchsin) 250 ml
Van Gieson staining solution (picrofuchsin) 500 ml
Van Gieson staining solution (picrofuchsin) 1 l
Van Gieson staining solution (picrofuchsin) 5 l
Van Gieson staining solution (picrofuchsin) 10 l

Schiff’s reagent

The reagent according to Schiff is used in the PAS reaction for the detection of diffrent carbohydrates.

Color Solution Set Package size
Schiff’s reagent, Graumann 100 ml
Schiff’s reagent, Graumann 250 ml
Schiff’s reagent, Graumann 500 ml
Schiff’s reagent, Graumann 1 l

Dye

Eosin Y (C.I. 45380

for microscopy eosin Y, Eosin Yellowish

Color Solution Set Package size
Eosin Y (C.I: 45380) 10 g
Eosin Y (C.I: 45380) 25 g
Eosin Y (C.I: 45380) 100 g
Eosin Y (C.I: 45380) 500 g
Eosin Y (C.I: 45380) 1 kg

Source: Markus Brückner, Labor für Materialprüfung, Zum Dornbusch 5, 68219 Mannheim, www.marcus-brueckner.de

We will gladly make you an offer
Contact

Do you have any question to our products or are you interested in additional information? We are looking forward to hear from you.